google ads

Vascular Pathology in Loeys-Dietz Syndrome: The Role of 64 row MDCT with 3D Rendering for Vascular Screening and Detection of Vascular Abnormalities

 

 

Vascular Pathology in Loeys-Dietz Syndrome: The Role of 64 row MDCT with 3D Rendering for Vascular Screening and Detection of Vascular Abnormalities

Russell H. Morgan Department of Radiology and Radiological Science, Johns Hopkins School of Medicine

 

Loeys-Dietz Syndrome (LDS) is a recently identified genetic syndrome, with phenotypic resemblance to Marfan syndrome (MFS), Marfanoid craniosynostosis syndrome (Shprintzen-Goldberg syndrome) and in some cases, Ehlers-Danlos type IV (EDS-IV).

 

Characteristic Traits of LDS (common)

  • Widely spaced eyes
  • Bifid uvula
  • Cleft palate
  • Generalized arterial tortuosity
  • Ascending aortic aneurysm with/without dissection

 

Characteristic Traits of LDS (less common)

  • Craniosynostosis
  • Mental retardation
  • Structural brain abnormalities
  • Blue sclerae
  • Malar hypoplasia
  • Congenital heart disease
  • Aneurysm with dissection throughout the arterial system

 

Loeys Dietz Syndrome: Clinical Subtypes

LDS type I:
  • craniofacial and vascular pathology
  • “craniofacial index” determines severity of syndrome
    • cleft palate
    • craniosynostosis
    • degree of increased intraocular distance
    • uvular configuration
  • earlier need for surgical intervention vs. LDS type II

 

Loeys Dietz Syndrome: Clinical Subtypes

LDS type II:
  • bifid uvula
  • no craniosynostosis, cleft palate or hypertelorism
  • phenotype resembles Ehlers-Danlos type IV
    • surgery difficult in EDS-IV due to fragility of arterial tissues
    • reserved for life threatening emergencies
  • However, LDS type II patients do well after surgical repair of aneurysms

 

Phenotypic spectrum and pathogenesis of a new aortic aneurysm syndrome caused by mutations in TGFBR1 and TGFBR2

 

Loeys-Dietz Syndrome

 

LDS: Thoracic CT Findings

  • Thoracic aortic aneurysms are one of the hallmark findings of Loeys-Dietz syndrome.
    • The cause is a loss in elastin content in the aortic media resulting from defects in elastogenes
  • Pulmonary arteries may be enlarged
  • Coronary artery aneurysms, patent ductus arteriosus, congenital cardiac anomalies
  • Arterial tortuosity

 

LDS: Aortic Root Aneurysm

  • These are more aggressive than in MFS and require careful monitoring
  • Leading cause of death in LDS is dissection of the thoracic aorta
  • Surgery is performed in adults with LDS when the aortic root measures 4 cm

 

Aortic Root Aneurysm

  • For children, because the normal arterial dimensions increase with age, z-scores are calculated based on body surface area, using a database and software developed by Dr. Steven Colan at Boston Children's Hospital.
  • For a young child who has severe craniofacial features, surgery will be performed if the aortic root z-score is greater than 3, indicating that the aortic root dimension exceeds the 99th percentile
  • In addition, the annulus must be at least 1.8 cm to allow placement of a graft of sufficient caliber to accommodate growth

 

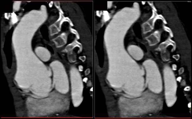
Dilated Aortic Root

Dilated Aortic Root

 

Dilated Aortic Root

 

Dilated aortic root as well ectatic carotid arteries

Dilated aortic root as well ectatic carotid arteries

 

Carotid Arteries and Intracranial Vessels: CT Findings

  • Tortuosity of the carotid vessels is not uncommon and may be severe
  • Vertebral arteries can be tortuous
  • Intracranial aneurysms can be present

 

Tortuous Carotid Arteries

Tortuous Carotid Arteries

 

Tortuous Carotid Arteries

 

Tortuous Carotid Arteries

 

Loeys-Dietz Syndrome: Ectatic Carotid Artery

Loeys-Dietz Syndrome: Ectatic Carotid Artery

 

Loeys-Dietz Syndrome: Ectatic Carotid Artery

  • CT angiogram demonstrates markedly ectatic internal carotid arteries with no evidence of aneurysmal dilatation or dissection.
  • The patient had prior spinal surgery with orthopedic hardware present.

 

Abdominal Aorta: CT Findings

  • Aneurysmal dilatation of the aorta and branch vessels do occur, with branches including the celiac artery, the SMA and the IMA.
  • These aneurysms can be large
  • Small aneurysms of branch vessels off the SMA and celiac axis have also been seen.

 

Loeys-Dietz Syndrome

This case is unique with so many aneurysms seen off the abdominal aorta, as well as the origins of the celiac, SMA, IMA and smaller branch vessels.

 

Loeys-Dietz Syndrome

 

Loeys-Dietz Syndrome

 

Small Aneurysms of the SMA

Small Aneurysms of the SMA

 

Conclusion

  • In Loeys-Dietz syndrome, early diagnosis of arterial pathology and rapid surgical intervention are instrumental to delaying fatal events.
  • As the most significant features of the syndrome involve vascular pathologies, CTA serves as an excellent noninvasive method for detection of findings and stigmata of Loeys-Dietz syndrome.
Acknowledgements:
  • Elliot K. Fishman, MD
  • Jennifer K. Chen, BA
  • Pam T. Johnson, MD
  • Bart L. Loeys, PhD
  • Harry C. Dietz, MD

Privacy Policy

Copyright © 2025 The Johns Hopkins University, The Johns Hopkins Hospital, and The Johns Hopkins Health System Corporation. All rights reserved.