CT of the Trachea: A Practical Approach
CT of the Trachea: A Practical Approach |
“Large-airway pathological conditions are a heterogeneous group of diseases that include focal and diffuse lesions. Although tracheobronchial neoplasms are uncommon, there is a high incidence of malignancy. Furthermore, most of the benign neoplasms and inflammatory conditions are usually symptomatic and need treatment. Focal lesions may be subdivided into benign neoplasms (papilloma, hamartoma, and carcinoid), malignant neoplasms (squamous cell carcinoma, adenoid cystic carcinoma, other primary neoplasms such as lymphoma or hemangiopericytoma, and secondary malignancy), and non-neoplastic conditions (tuberculosis, post-intubation stenosis, idiopathic subglottic stenosis, post-inflammatory pseudotumour, trauma, and foreign body).” Central airway pathology: clinic features, CT findings with pathologic and virtual endoscopy correlation Daniel Barnes et al. Insights Imaging (2017) 8:255–270 |
”Diffuse lesions can be classified into lesions with dilatation of the tracheobronchial lumen (Mounier- Kuhn syndrome and acquired tracheobronchomegaly), lesions with stenosis (rhinoscleromatosis, granulomatous bronchitis, amyloidosis, sarcoidosis, granulomatosis with polyangitis, relapsing polychondritis, osteochondroplastic tracheobronchopathy), and lesions with respiratory collapse (tracheobronchomalacia).” Central airway pathology: clinic features, CT findings with pathologic and virtual endoscopy correlation Daniel Barnes et al. Insights Imaging (2017) 8:255–270 |
Trachea Filling Defect-Differential Dx
|
SOB and Hemoptysis ![]() |
![]() |
![]() |
![]() |
![]() |
![]() |
![]() |
Tracheal Tumor: Adenoid Cystic Carcinoma ![]() |
Tracheal Tumor ![]() |
Esophageal Cancer Invades the Lung ![]() |
Metastatic Renal Cell Carcinoma Invades the Airway ![]() |
Metastatic Disease to Trachea ![]() |
![]() |
![]() |
![]() |
![]() |
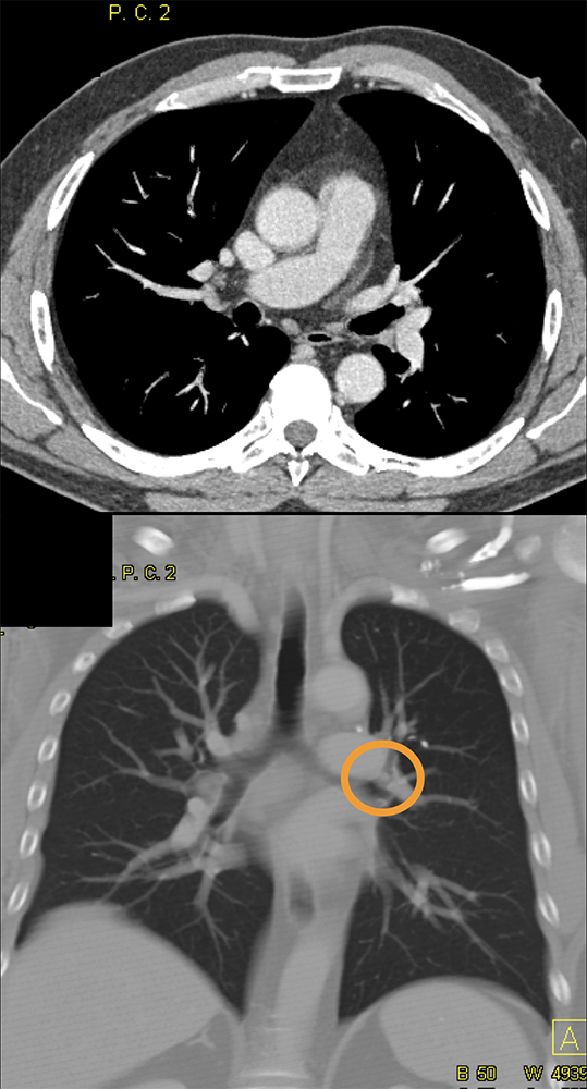
Carcinoid Tumor Airway ![]() |
![]() |
![]() |
![]() |
Carcinoid Tumor ![]() |
![]() |
![]() |
![]() |
![]() |
![]() |
Nonneoplastic Lesions of the Trachea: Diffuse Disease
|
Cough and Hemoptysis ![]() |
![]() |
![]() |
![]() |
![]() |
![]() |
![]() |
Tracheal Papillomatosis ![]() |


































