CT of Trauma to the Thoracic Aorta: Pearls and Pitfalls
CT of Trauma to the Thoracic Aorta: Pearls and Pitfalls |
“Blunt aortic injuries (BAI) represent the second leading cause of death from motor vehicle crashes accounting for 15% of all motor vehicle accident-associated deaths. Death occurs at the scene of the accident in 70–90% of the cases. According to historical case series, the majority of the patients with BAI (75%) who arrive to the hospital alive are hemodynamically stable, but only 10% survive more than 6 h. Patients arriving to the hospital alive most frequently present with injury at the aortic isthmus where periadventitial tissue seems to provide some degree of protection against free rupture. The majority of patients with BAI have an associated closed head injury, multiple rib fractures, lung contusions, or orthopedic injuries.” Blunt aortic injuries in the new era: radiologic findingsand polytrauma risk assessment dictates management strategy Rachel Elizabeth Payne et al. European Journal of Trauma and Emergency Surgery (2019) 45:951–957 |
“Up to 80% of patients presenting with blunt thoracic aortic injury(BTAI) die before hospitalization, and in the remaining survivors, in- hospital mortality is as high as 46%. While this is a potentially lethal injury, it is rare and accounts for 1.5% of thoracic trauma.” Blunt thoracic aortic injury – concepts and management Nicolas J. Mouawad et al. Journal of Cardiothoracic Surgery (2020) 15:62 |
”Rapid deceleration is the universal mechanism of this injury. Most commonly, there are multiple other life- threatening injuries present with less than 20% having this as an isolated injury making the diagnosis and initial next steps challenging. BTAI is defined as a tear in the aorta that is a result of a combination of shear and stretch forces, rapid deceleration, increased intravascular pressure and compression of the aorta between the anterior chest wall and vertebrae.” Blunt thoracic aortic injury – concepts and management Nicolas J. Mouawad et al. Journal of Cardiothoracic Surgery (2020) 15:62 |
”Blunt thoracic aortic injury requires a high index of suspicion based on mechanism of injury in the trauma population. Endovascular approaches have slowly replaced open surgical repair for the management of this pathology. Clearly, such patients that present with blunt thoracic injury should be relegated to centers that specialize in the polytrauma patient as it is their concurrent injuries that are the focus of their critical care.” Blunt thoracic aortic injury – concepts and management Nicolas J. Mouawad et al. Journal of Cardiothoracic Surgery (2020) 15:62 |
”Injury can occur along the entire length of the aorta, essentially from the ascending aorta to the iliac bifurcation, although the injury typically occurs areas of aortic tethering, notably the aortic isthmus.” Blunt thoracic aortic injury – concepts and management Nicolas J. Mouawad et al. Journal of Cardiothoracic Surgery (2020) 15:62 |
“Blunt thoracic aortic trauma is associated with other major entities of chest trauma, including, but not limited to, sternal fracture, 1st/2nd rib fractures, clavicle and/or scapular fractures, pneumothoraces, hemothoraces, flail chest, pulmonary contusions, diaphragm injury, tracheobronchial disruption and esophageal injuries; these should raise suspicion for BTAI.” Blunt thoracic aortic injury – concepts and management Nicolas J. Mouawad et al. Journal of Cardiothoracic Surgery (2020) 15:62 |
”Injuries are assigned one of 4 grades based on CTA imaging: grade 1 (intimal tear), grade II (intramural hematoma), grade III (pseudoaneurysm) and grade IV (rupture). Currently, the recommendation is to proceed with surgical repair of Grade II-IV injuries [20]. For grade I injuries, it is well established that no intervention is necessary as these tend to resolve on their own with conservative management. Grade II injures do fall into a “gray zone” between medical management and operative intervention although more recent studies do document that nonoperative is safe with close follow up.” Blunt thoracic aortic injury – concepts and management Nicolas J. Mouawad et al. Journal of Cardiothoracic Surgery (2020) 15:62 |
“The CT findings of TAI can be divided into direct signs of injury and indirect or associated findings. Direct findings of aortic injury include intramural hematoma, intimal flap and pseudoaneurysm. Injuries that only involve the intima, classified as minimal aortic injuries, should only have direct findings of TAI. Minimal aortic injuries can present with an intimal flap, intraluminal aortic thrombus or intramural hematoma. With the improvement in technology allowing thinner CT slice thickness minimal aortic injuries are being diagnosed more frequently.” Traumatic aortic injury: CT findings, mimics, and therapeutic options Ethany L. Cullen et al. Cardiovasc Diagn Ther 2014;4(3):238-244 |
”Mediastinal hematomas can be due to injury to other structures including the pulmonary artery, great vessels or mediastinal veins, or even fractures of vertebral bodies. Presence of a mediastinal hematoma should prompt a careful search for an aortic, pulmonary artery or great vessel injury. In the absence of an identified arterial injury the hematoma is likely venous. A preserved fat plane around the aorta or hematoma centered away from the aorta is less likely to be associated with aortic injury and more likely to be venous.” Traumatic aortic injury: CT findings, mimics, and therapeutic options Ethany L. Cullen et al. Cardiovasc Diagn Ther 2014;4(3):238-244 |
”The best way to distinguish a true aortic root injury from motion artifact is to repeat thoracic imaging with ECG gating; and echocardiography can be a reasonable alternative. The difference between a study done without and with ECG gating is illustrated in. In our institution all of the chest CT done as part of a trauma survey are acquired without ECG gating. Since the majority of TAIs are at the aortic isthmus, which is typically well seen on non-gated studies, we feel the additional radiation exposure and time required for setup and acquisition of an ECG gated study is not necessary for every patient.” Traumatic aortic injury: CT findings, mimics, and therapeutic options Ethany L. Cullen et al. Cardiovasc Diagn Ther 2014;4(3):238-244 |
“A number of artifacts can mimic a traumatic injury of the thoracic aorta. The classic example is that of the cardiac pulsation artifact, especially in the ascending aorta. If there is any doubt, CT angiography with ECG-gating or a transoesophageal echocardiogram will allow this pathology to be excluded in stable patient. Nonetheless, there remain a number of pitfalls that require particular attention.” Traumatic injuries of the thoracic aorta: The role of imaging in diagnosis and treatment F.Z. Mokranea et al. Diagnostic and Interventional Imaging (2015) 96, 693—706 |
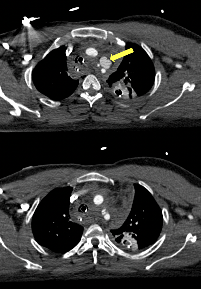
MVA-r/o Dissection ![]() |
![]() |
![]() |
CCTA:Pseudolesion Aortic Root ![]() |
“Nonetheless, there remain a number of pitfalls that require particular attention:•pseudo ruptures: on lateral aortic imaging there is an accumulation of contrast material in a wall crevice, and this finding varies in terms of whether or not it points to a pathology. It is usually a congenital abnormality, such as a dilation at the aortic insertion into an arterial canal, known as ductus diverticulum. Sometimes these images correspond to acquired conditions, such as aneurysms or simple or complicated plaques of atherosclerosis.” Traumatic injuries of the thoracic aorta: The role of imaging in diagnosis and treatment F.Z. Mokranea et al. Diagnostic and Interventional Imaging (2015) 96, 693—706 |
• mediastinal haematoma of venous origin: not all mediastinal bleeding corresponds to aortic injury. The literature describes trauma injuries to the great veins like the superior vena cava. These injuries are rare but they can be life-threatening; • mediastinal haematoma secondary to an extra-aortic injury. It is important to know how to detect abnormalities of the supra-aortic vessels, possibly using 3D reconstruct-ions. These dangerous lesions are a therapeutic challenge. They are often associated with aortic injuries although they can sometimes be isolated. Traumatic injuries of the thoracic aorta: The role of imaging in diagnosis and treatment F.Z. Mokranea et al. Diagnostic and Interventional Imaging (2015) 96, 693—706 |
“Acute aortic injuries are not common in the setting of severe blunt trauma, but lead to significant morbidity and mortality. High- quality MDCT with 2D MPRs and 3D rendering are essential to identify aortic trauma and distinguish anatomic variants and other forms of aortic pathology from an acute injury. Misinterpretation of mimics of acute aortic injury can lead to unnecessary arteriography and thoracic surgery. Since most traumatic injuries occur in the distal arch, radiologists must be cognizant of the range of appearances of variants related to the ductus diverticulum. Cinematic rendering (CR) is a new 3D post-processing tool that provides even greater anatomic detail than traditional volume rendering. In this case series, CR is used to impart to radiologists a better understanding of various anatomic configurations that can be seen with a ductus diverticulum.” MDCT of ductus diverticulum: 3D cinematic rendering to enhance understanding of anatomic configuration and avoid misinterpretation as traumatic aortic injury Steven P. Rowe & Pamela T. Johnson & Elliot K. Fishman Emergency Radiology (2018) 25:209–213 |
”Ductal remnants, a diverticulum or small bump, are normal remnants of the embryologic ductus arteriosus. This normal variant can simulate injury and can be very perplexing for the inexperienced or unaware radiologist. The ductal diverticulum is a remnant of the closed or partially closed ductus arteriosus which connects the pulmonary artery to the aorta in fetal circulation. Ductal remnants are located at the inferior surface of the aortic arch near the aortic isthmus which leads to their confusion with TAIs. Ductal remnants are typically smooth walled and have obtuse margins that are continuous with the aortic wall and are often calcified. The presence of calcification can be very helpful in distinguishing a ductal remnant from a TAI with the presence of calcification favoring a benign ductal remnant.” Traumatic aortic injury: CT findings, mimics, and therapeutic options Ethany L. Cullen et al. Cardiovasc Diagn Ther 2014;4(3):238-244 |
”Among these is the ductus diverticulum—a remnant of the ductus arteriosus that arises from the lesser curvature of the aortic arch, which can be mistaken for a traumatic aortic pseudoaneurysm, dissection, or incomplete rupture. The distal aortic arch, and in particular the undersurface, is the most common location for acute traumatic aortic injury. Differentiation of a ductus diverticulum from an aortic injury can be difficult, but it is of paramount importance in order to spare patients the morbidity of unnecessary thoracic surgery. This becomes more challenging in the setting of other thoracic traumatic injury, especially mediastinal hematoma, as demonstrated in this case report.” MDCT of ductus diverticulum: 3D cinematic rendering to enhance understanding of anatomic configuration and avoid misinterpretation as traumatic aortic injury Steven P. Rowe & Pamela T. Johnson & Elliot K. Fishman Emergency Radiology (2018) 25:209–213 |
MDCT of ductus diverticulum: 3D cinematic rendering to enhance understanding of anatomic configuration and avoid misinterpretation as traumatic aortic injury Steven P. Rowe & Pamela T. Johnson & Elliot K. Fishman Emergency Radiology (2018) 25:209–213 ![]() |
MDCT of ductus diverticulum: 3D cinematic rendering to enhance understanding of anatomic configuration and avoid misinterpretation as traumatic aortic injury Steven P. Rowe & Pamela T. Johnson & Elliot K. Fishman Emergency Radiology (2018) 25:209–213 ![]() |
MVA with PDA ![]() |
![]() |
![]() |
![]() |
![]() |
![]() |
GSW with Bleed from Aorta Near Left Subclavian Artery ![]() |
![]() |
![]() |
![]() |
![]() |
![]() |
![]() |
![]() |
![]() |
![]() |
![]() |
![]() |
![]() |

























