Toggle navigation
Protocols
Cardiac
Chest
Gastrointestinal
Genitourinary
Musculoskeletal
Vascular
Case Studies
Anatomical Region
Adrenal
Cardiac
Chest
Colon
View Full List ❯ ❯
Additional Sections
Body MR
CT/PET
Neuro MR
Trauma
Veterinary
Educational Tools
Upcoming CME
Diagnostic Case Quiz
Imaging Pearls
Journal Club
Medical Illustrations Gallery
Learning Modules
CT Quick Guides
Additional Resources
37th Annual Computed Body Tomography 2021: The Cutting Edge
Deep Learning
Pearls
Journal Club
Lectures
Exhibits
The FELIX Project: A Lustgarten Initiative
Lectures
Weekly Lectures
Cardiac
Chest
Deep Learning
Gastrointestinal
View Full List ❯ ❯
Yearly Archives
Weekly Lectures
Quiz Discussions
Daily Cases Vignette
Additional Sections
Podcast Subscription Instructions
CT Physics Lectures
Beyond the Images Discussions
Contact Us
About Dr. Elliot K. Fishman
FAQs
Sitemap
Newsletter Sign Up
All Sections
Journal Club
Lectures
Pearls
Protocols
Case Studies
Medical Illustrations
Search
Educational Tools
Upcoming CME
Diagnostic Case Quiz
Quiz of the month
Anatomical Region Quiz
You Make the Call
Imaging Pearls
Journal Club
Deep Learning
Pearls
Journal Club
Lectures
Exhibits
The FELIX Project: A Lustgarten Initiative
Medical Illustrations Gallery
Learning Modules
CT Quick Guides
Additional Resources
Anatomy
Cross Sectional Anatomy of the Body: MDCT Atlas
Normal Anatomy and Complications of Bariatric Surgery
Illustrated Guide: Anomalous Coronary Activity
CTA of the Heart with 64 MDCT
Coronary CT Angiography
64 Slice MDCT of the Heart
CTisus.com Milestones: 1999 - Present
37th Annual Computed Body Tomography 2021: The Cutting Edge
Medical Illustration Gallery
❯ Liver
Cancer
Cardiac
Chest
Gastrointestinal
Genitourinary
Head and Neck
Liver
MDCT
Miscellaneous
Musculoskeletal
Pancreas
Renal
Vasculature
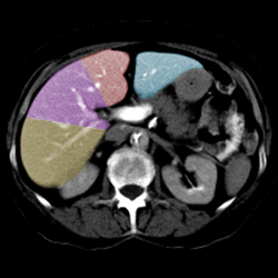
Liver anatomy
Liver imaging
Liver lobectomy
Portal Vein:
Patterns of Collateral Pathways in Extrahepatic Portal Hypertension
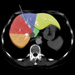
Segmental Anatomy of Liver
Privacy Policy
Copyright © 2025 The Johns Hopkins University, The Johns Hopkins Hospital, and The Johns Hopkins Health System Corporation. All rights reserved.