
- 1
- 8
- ,
- 4
- 3
- 3
To Quiz Yourself: Select OFF by clicking the button to hide the diagnosis & additional resources under the case.
Quick Browser: Select ON by clicking the button to hide the additional resources for faster case review.
CASE NUMBER
2,200
Diagnosis
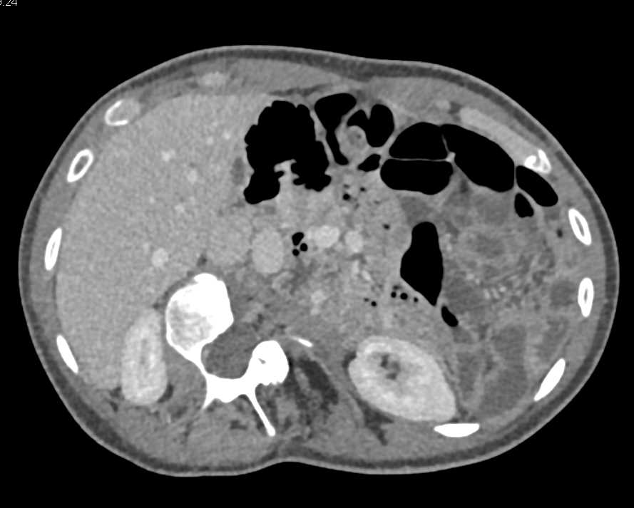
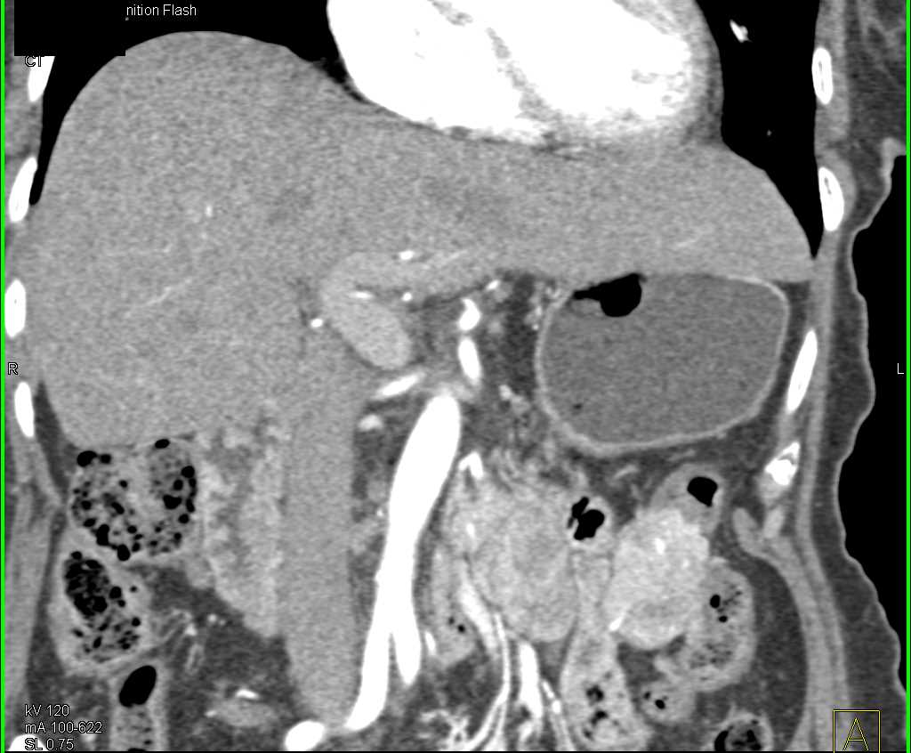
Neuroendocrine Tumor with Superior Mesenteric Vein (SMV) Occlusion
THIS IS CASE
2,200
OF
2,200
