
- 2
- ,
- 3
- 8
- 1
To Quiz Yourself: Select OFF by clicking the button to hide the diagnosis & additional resources under the case.
Quick Browser: Select ON by clicking the button to hide the additional resources for faster case review.
CASE NUMBER
392
Diagnosis
Petrous Apex Abscess
Note
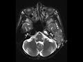
These images demonstrate complete opacification of the left mastoid air cells with peripheral air cell enhancement and restricted diffusion in the petrous apex compatible with abscess. There may be smaller abscesses in the posterior mastoid air cells. The coronal MRV MIP image shows thrombosis of the distal left sigmoid venous sinus and internal jugular vein, a well known complication of acute otomastoiditis. No subperiosteal abscess or extracranial abscess was present.
THIS IS CASE
392
OF
396
