
- 2
- ,
- 3
- 0
- 3
To Quiz Yourself: Select OFF by clicking the button to hide the diagnosis & additional resources under the case.
Quick Browser: Select ON by clicking the button to hide the additional resources for faster case review.
CASE NUMBER
363
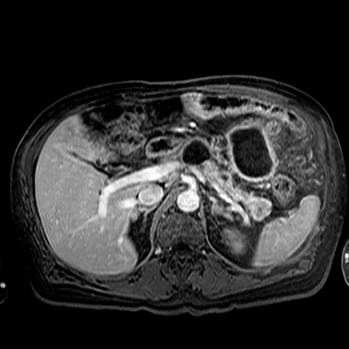
Diagnosis
Chronic pancreatitis
Note
Multiple MRI images demonstrate diffuse T1 hypointensity of the pancreas with a dilated pancreatic duct and at least 2 discrete cystic lesions in communication with the pancreatic duct, representing chronic pancreatitis with pseudocysts
THIS IS CASE
363
OF
366
