
- 7
- 9
- 0
To Quiz Yourself: Select OFF by clicking the button to hide the diagnosis & additional resources under the case.
Quick Browser: Select ON by clicking the button to hide the additional resources for faster case review.
CASE NUMBER
83
Diagnosis
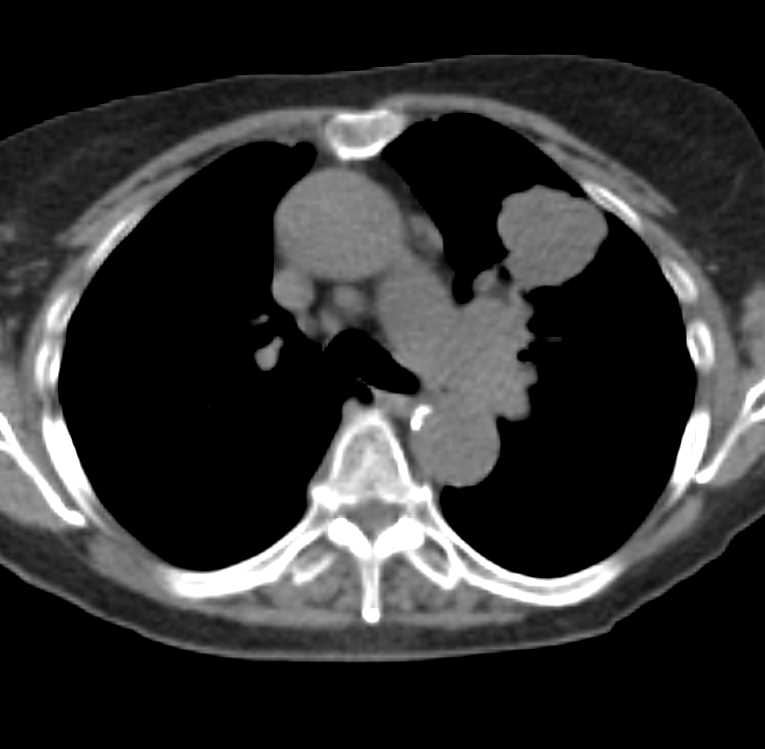
Lung Cancer with Left Hilar Adenopathy
THIS IS CASE
83
OF
84
