
- 7
- ,
- 1
- 8
- 6
To Quiz Yourself: Select OFF by clicking the button to hide the diagnosis & additional resources under the case.
Quick Browser: Select ON by clicking the button to hide the additional resources for faster case review.
CASE NUMBER
828
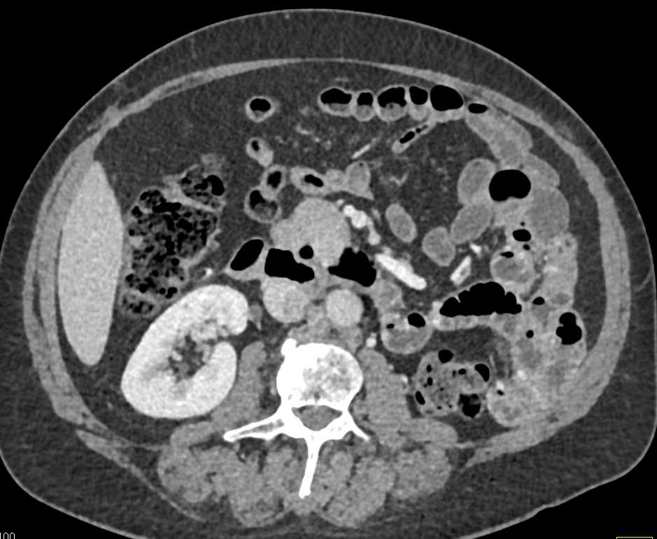
Diagnosis
Paraganglioma
THIS IS CASE
828
OF
832
