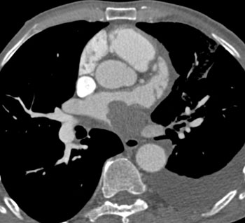
![]() | Question 17: 68 year old male with a history of non-small cell lung cancer with increasing shortness of breath and chest pain. What is the best diagnosis? |
![]() |
This case has 12 images | |
![]() | ![]() |
![]() | ![]() |
![]() | ![]() |
![]() | ![]() |
![]() | ![]() |
![]() | ![]() |
![]() | Question 17: 68 year old male with a history of non-small cell lung cancer with increasing shortness of breath and chest pain. What is the best diagnosis? |
![]() |
This case has 12 images | |
![]() | ![]() |
![]() | ![]() |
![]() | ![]() |
![]() | ![]() |
![]() | ![]() |
![]() | ![]() |