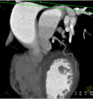
![]() | Question 20: The patient had atypical chest pain and the CTA was done to rule out a critical stenosis. What is the diagnosis? |
![]() |
This case has 16 images | |
![]() | ![]() |
![]() | ![]() |
![]() | ![]() |
![]() | ![]() |
![]() | ![]() |
![]() | ![]() |
![]() | ![]() |
![]() | ![]() |
![]() | Question 20: The patient had atypical chest pain and the CTA was done to rule out a critical stenosis. What is the diagnosis? |
![]() |
This case has 16 images | |
![]() | ![]() |
![]() | ![]() |
![]() | ![]() |
![]() | ![]() |
![]() | ![]() |
![]() | ![]() |
![]() | ![]() |
![]() | ![]() |