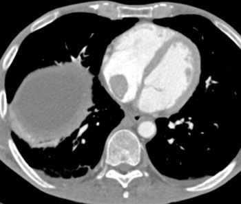
![]() | Question 7: 50ish year old male with increasing chest and abdominal discomfort. What is the most likely diagnosis in this case? |
![]() |
This case has 5 images: | |
![]() | ![]() |
![]() | ![]() |
![]() |
![]() | Question 7: 50ish year old male with increasing chest and abdominal discomfort. What is the most likely diagnosis in this case? |
![]() |
This case has 5 images: | |
![]() | ![]() |
![]() | ![]() |
![]() |