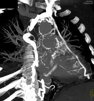
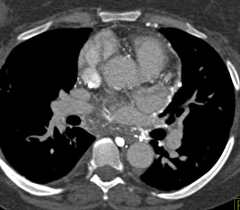
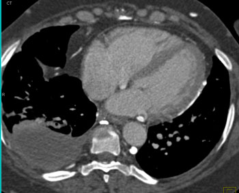
Question 18: In this patient with increasing dyspnea what is the best overall diagnosis?
Click to view the answer
This case has 14 images
Privacy Policy