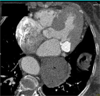
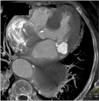
![]() | Question 3: 87 yr old female with history of hypertension had negative stress echo, presents with acute chest pain. What’s the diagnosis? |
![]() |
This case has 6 images: | |
![]() | ![]() |
![]() | ![]() |
![]() | ![]() |
![]() | Question 3: 87 yr old female with history of hypertension had negative stress echo, presents with acute chest pain. What’s the diagnosis? |
![]() |
This case has 6 images: | |
![]() | ![]() |
![]() | ![]() |
![]() | ![]() |